Impact of tobacco on oral health- Dr. amit chakraborty

Impact of tobacoo on oral health

Tobacco use remains a leading cause of preventable health issues worldwide, contributing to a variety of oral and systemic diseases. While many people are aware of its connection to lung cancer and heart disease, the impact of tobacco on oral health often goes unnoticed. Whether through smoking or chewing, tobacco use can lead to a range of serious dental problems, including oral cancer. This article aims to highlight the risks tobacco poses to oral health and offer guidance on how to quit, while also introducing expert support from Dr. Amit Cancer Care, recognized for oral cancer  treatment, best surgical oncologist in Mumbai, Nagpur, and Dubai.

How to Quit Tobacco and Protect Your Oral Health

While the risks of tobacco use are significant, quitting tobacco is one of the most effective ways to protect your oral health and overall well-being. Here are some practical strategies to help you quit:

1. Set a Quit Date

Choose a specific date to quit smoking or chewing tobacco and stick to it. Let family and friends know about your plan, as their support can be invaluable.

2. Seek Professional Help

Counseling and professional support can increase your chances of quitting successfully. Consider joining a tobacco cessation program or consulting with a healthcare provider who can help you develop a personalized quitting strategy.

3. Nicotine Replacement Therapy (NRT)

Nicotine replacement products, such as nicotine gum, patches, and lozenges, can help reduce withdrawal symptoms. These products provide low doses of nicotine without the harmful chemicals found in tobacco. NRT has been proven to increase the chances of quitting successfully.

4. Prescription Medications

Several prescription medications can help you quit tobacco by reducing cravings and withdrawal symptoms. Ask your healthcare provider about medications like varenicline (Chantix) or bupropion (Zyban).

5. Practice Stress Management

Many people use tobacco as a way to cope with stress. Developing healthier stress management techniques, such as mindfulness, exercise, or deep breathing exercises, can prevent relapse and support your quitting journey.

6. Stay Positive and Persistent

Quitting tobacco is a process, and setbacks are normal. If you slip up, don’t give up. Learn from the experience, adjust your strategies, and keep moving forward.

Protecting Your Oral Health after Quitting

Once you quit tobacco, you can start to reverse some of the damage it has caused to your oral health. Here are a few steps you can take to maintain a healthy mouth post-quitting:

Visit Your Dentist Regularly: Schedule regular dental checkups to monitor your oral health and catch any potential issues early.

Brush and Floss Daily: A good oral hygiene routine can help remove harmful bacteria and plaque from your teeth and gums.

Use Mouthwash: Antibacterial mouthwash can reduce the risk of gum disease and help freshen your breath.

Eat a Balanced Diet: Consuming foods rich in vitamins and minerals supports gum health and overall dental hygiene.

If you are concerned about oral cancer or tobacco-related oral health problems, visit a cancer specialist in Mumbai, Nagpur, or Dubai, like Dr. Amit Cancer Care, can provide you with the expertise and treatment needed to manage your condition effectively.

The Risks of Tobacco on Oral Health

Tobacco contains harmful chemicals that damage the soft tissues and bones of the mouth. Some of the major oral health issues caused by tobacco include:

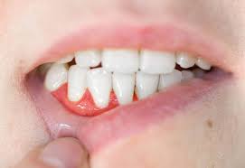
1. Gum Disease

Tobacco use reduces blood flow to the gums, making them more vulnerable to infection and impairing their ability to heal. This often leads to gum disease, which, if left untreated, can cause tooth loss. Smokers are twice as likely to develop gum disease as non-smokers.

2. Tooth Discoloration and Bad Breath

Nicotine and tar from tobacco easily stain teeth, turning them yellow or brown over time. Additionally, tobacco use dries out the mouth, leading to persistent bad breath (halitosis) due to a decrease in saliva production, which normally helps cleanse the mouth of bacteria.

3. Delayed Healing after Dental Procedures

Smokers often experience delayed healing after oral surgeries or extractions because tobacco reduces the body’s immune response. This increases the risk of infections and complications following dental treatments.

4. Oral Cancer

Oral cancer is one of the most serious side effects of smoking. According to the World Health Organization, smoking and chewing tobacco are leading causes of cancers affecting the lips, tongue, throat, and other areas of the mouth. Oral cancer, if not detected early, can be life-threatening.

Seeking timely treatment from specialists, like Dr. Amit Cancer Care, is crucial for individuals diagnosed with oral cancer. As one of the best surgical oncologists in Mumbai, Nagpur, and Dubai Dr. Amit Chakraborty offers comprehensive cancer treatment and oral cancer care. His team is dedicated to providing personalized, cutting-edge treatment options for patients at every stage of cancer.

Oral Cancer: Symptoms to Watch For

Recognizing the early signs of oral cancer can lead to more successful treatment outcomes. Common symptoms include:

– Persistent mouth sores or ulcers that don’t heal

– Red or white patches in the mouth

– Difficulty chewing or swallowing

– Numbness in the mouth or lips

– Swelling or lumps in the neck

If you or someone you know is experiencing these symptoms, it’s important to seek an evaluation from a cancer specialist in Mumbai, Nagpur, or Dubai as soon as possible. Dr. Amit Cancer Care is well-known for its state-of-the-art diagnostic and therapeutic services for oral cancer treatment.

Importance of Early Detection in Oral Cancer

Oral cancer treatment is most effective when diagnosed early. Dr. Amit Cancer Care, a prominent cancer specialist in Mumbai, Nagpur, and Dubai, emphasizes regular screenings for individuals at high risk, such as long-term tobacco users. With advancements in medical technology, early-stage oral cancer can often be treated with minimally invasive techniques. However, delaying diagnosis can lead to more aggressive treatment options, such as surgery performed by the best surgical oncologist.

Conclusion

Tobacco use has devastating consequences for oral health, from gum disease and tooth discoloration to the life-threatening risks of oral cancer. However, with the right resources and support, quitting is possible, and the benefits to your health are immense. If you or a loved one is struggling with tobacco addiction or is concerned about oral cancer, seeking professional advice from experts like Dr. Amit Chakraborty can make a significant difference.

Take control of your health today and protect your smile by quitting tobacco. Remember, early detection and treatment can save lives, so consult with the best surgical oncologist for oral cancer to safeguard your oral and overall health.

Dr. Amit Chakraborty
About Author

Dr Amit Chakraborty

Cancer Surgeon

Dr. Amit Chakraborty is a leading Head and Neck Surgical Oncologist in Mumbai with over 15 years of experience. A well-known cancer specialist for his expertise in treating oral, thyroid, buccal, laryngeal, hypopharyngeal, and parotid gland cancers through advanced surgical techniques and providing personalized care. Dr.Amit’s commitment to excellence has earned him recognition on both national and international platforms.

Read More Read More